Why I ride the Million Dollar Bike Ride
Cycling is a mix of disciplines: mountain, road, BMX, cross country, downhill, touring, fat tire, tandem, leisure/urban, cycle cross, and the latest new thing, gravel.
Meet the Inaugural Patient Voice Committee Members
We are honored to celebrate the three extraordinary women who will serve as members of the first Patient Voice Committee. Their willingness to share their
Advancing Care Through Connection: Dr. Misbah Baqir’s Impact on the LAM Community
For more than 14 years, Dr. Misbah Baqir has cared for people living with LAM. Her connection to the LAM community began early in her
New Research Shows Urine Leakage is a Common Symptom in Those with LAM
Thanks to the amazing support from the LAM community and participation in a research survey conducted by the University of Washington, results from a study
Recap: Rare Disease Week on Capitol Hill
Kate Racoff Musgrove, PhD was one of eleven LAM advocates who traveled to Washington, DC for Rare Disease Week, February 23–28. As a woman living
Meet Matthew Koslow, MD: All In for the LAM Community
For Dr. Matthew Koslow, caring for people with LAM is more than a job. It is a mission that has shaped his career, his family
Take the Rare Disease Day Challenge—and Help Unlock a $15,000 Match
This February, you can make a difference for rare diseases by bringing awareness and support. In honor of Rare Disease Day (February 28), The LAM
Why Monthly Giving Matters to The LAM Foundation
As we look forward to Rare Disease Day 2026, we know that for those living with LAM, you are faced with your disease all year
New Research Brings Hope for Easier LAM Diagnosis — and It’s Happening Because of You
For those living with LAM (lymphangioleiomyomatosis), this rare lung disease can make breathing and life difficult. Doctors often use a blood test called VEGF-D to
When Diagnosis Meets Determination
“Keep yourself healthy. Give yourself a chance.” A planner by nature, retired IT project manager Leeanne Hart knows how to work towards a goal. So,
Celebrating a Refreshed Mission Statement
At The LAM Foundation, our mission guides every decision we make and every step we take alongside people living with LAM. This year, we refreshed
Reflecting on 2025: A Year of Growth, Impact, and Community at The LAM Foundation
As 2025 comes to a close, we’re taking a moment to celebrate the incredible milestones, accomplishments, and connections that shaped this year at The LAM
Finish the Year Strong: Smart Ways to Support a Future Without LAM
As we reflect on 2025, this season of giving reminds us how much we can accomplish when we come together. Thanks to your generosity, those
Peggy’s Story: A Pregnancy Interrupted by LAM
Eleven years ago, Peggy Chung never imagined she’d one day be boarding a plane to Singapore to attend a family wedding. Back then, her future
Study Suggests That Blocking Protein IL-6 May Help Protect and Heal Lungs in LAM Patients
In individuals with LAM, the lungs have groups of abnormal cells called LAM cells. These cells have a change in their genes that turns on
Meet Erev
Erev King’s journey with LAM hasn’t been easy—but it’s one of strength, determination, and advocacy. She first noticed shortness of breath in her 30s. At
A Promising Breakthrough in Lung Testing for LAM Patients: Introducing Oscillometry
At The LAM Foundation, we believe that hope grows through research—and today, we’re excited to share a new advancement that could transform how we monitor
LAMposium: What to Know Before you go
We’re almost there! The LAM Foundation Team looks forward to seeing you next week for the 2025 International LAM Research Conference & LAMposium, September 26-28
Pearls of Travel: A Special Way to Support LAM Research—and celebrate with a Cruise!
At The LAM Foundation, we imagine a world without LAM—and we know you do too. That’s why we’re inviting you to join us in a
Cheers to 30 Years of Hope at the Breath of Hope Gala: A Celebration of Heroes in Pearls!
Get ready for a night filled with joy, community, and celebration! Join us on Saturday, September 27, for the Breath of Hope Gala, a very
Sirolimus Use During Pregnancy in Women with LAM
Previous studies have shown that pregnancy can be risky for women with LAM, leading to faster worsening of lung function and a higher chance of
Find Your Pearls of Hope: Join Us at LAMposium 2025!
Are you living with LAM or supporting someone who is? Then LAMposium 2025 is the place to find your pearls of hope! This special event
Reflecting on the 2017 Patient Benefit Conference: A Milestone for the LAM Community
In 2017, The LAM Foundation hosted a landmark event in Los Angeles—the Patient Benefit Conference—bringing together patients and researchers in a first of its kind
7 Key Reasons Researchers Can’t Miss LAMposium
Are you passionate about science, discovery, and making a real difference in people’s lives? Then the Research Sessions at the 2025 International LAM Research Conference
Targeting Fibroblast-Endothelial Interactions in LAM Pathogenesis using 3D Spheroid Models and Spatial Transcriptomics
Lymphangioleiomyomatosis (LAM) is a severe multisystemic and predominantly female disease that primarily affects the lung. Because of its cellular characteristics, it is classified by the
RECAP: Rare Disease Week on Capitol Hill
More than 800 members of the rare disease community, including 12 passionate individuals living with LAM and their families, teamed up for Rare Disease Week
FAA Changes to Lithium Batteries in Portable Oxygen Concentrators
The FAA has implemented a rule change regarding lithium batteries in portable oxygen concentrators (POCs), limiting the watt-hour rating of batteries to 160 Wh, with
Researchers Identify Compound that Could Block LAM Cell Growth
Mutations in the TSC (tuberous sclerosis complex) genes cause the overactivation of a growth pathway called mTORC1 in lung cells, leading to a disease called
Study: Potential New Avenue for Treating LAM
The loss of the TSC2 gene, either inherited or sporadic, can lead to pulmonary lymphangioleiomyomatosis (LAM), a rare lung disease characterized by cystic growths caused
LAM Patient Research and Priorities Survey Provides Key Insights
We are pleased to inform you that the LAM Patient Research Priorities Survey (LAM-PREP), led by Dr. Marina Holz, has been a success. While Dr.
LAM Patients Advocate for Supplemental Oxygen Access Reform During Rare Across America
From August 5-16, LAM patients: Beth Daugherity, Ali DeChristopher, Steph Dreyer, Sarah Poitras, Mary Stojic, Abigail Passeri, Ally Venugopal, Elizabeth Zampino, and Cindy Beasley were
CpG-ODN as novel LAM immunotherapy
Lymphangioleiomyomatosis (LAM) is a rare but serious lung disease mostly affecting women of reproductive age. LAM leads to lung damage through the formation of cysts.
Advocating for Women in Rare Diseases: LAM Foundation’s Call to the FDA Innovation Hub
The LAM Foundation recently issued recommendations for the FDA’s Rare Disease Innovation Hub, urging it to prioritize the unique needs of women affected by rare
Assessing Unsupervised Exercise in Interstitial Lung Disease
Patients with interstitial lung diseases (ILDs), including lymphangioleiomyomatosis (LAM), have unique risks for adverse health events during exercise training outside of a medically supervised setting.
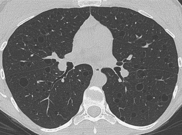
New Automated Method to Segment and Measure Lymphangioleiomyomatosis Lung Cysts in CT Images
This study addresses the cystic lung destruction in Lymphangioleiomyomatosis (LAM). Because LAM may progress over many years, doctors may use pulmonary function tests, exercise tests,
I Am a LAM Patient and Oxygen Advocate. Here’s Why Congress Needs to Pass the SOAR Bill.
Bev Jackson is one of the leading LAM community advocates for passing SOAR (Supplemental Oxygen Access Reform) legislation. Her interview has been edited for length
A Note From Pat Gentile
Greetings! How lucky am I that I get to work with the LAM community again?! Throughout my long professional career, I have never encountered a more
The Latest in LAM Science: Q & A with Kathryn Wikenheiser-Brokamp, PhD
Dr. Wikenheiser-Brokamp of Cincinnati Children’s Hospital Medical Center was awarded an Established Investigator Award in 2022 for her project titled: Identifying Cell-Cell Signaling Driving Pulmonary
A Potential Biomarker and Therapeutic Target for LAM
One of the greatest challenges in caring for patients with lymphangioleiomyomatosis (LAM) is to find better ways to track disease progression, either off or on
Take Action on Oxygen Reform: Call Your Senators and Representatives.
PHONE CALLS TO CONGRESS NEEDED The LAM community has an opportunity to advocate for improved oxygen therapy through a simple phone call to their congressional
New study explores the relationship between mTOR activation and pulmonary hypertension
Lymphangioleiomyomatosis (LAM) is a complex lung disease characterized by cyst formation due to mutations in the TSC1/2 genes, leading to the overactivation of a molecular
Specialized Protein TFEB May be Key to Understanding LAM
Tuberous Sclerosis Complex (TSC) is a genetic disorder caused by mutations in the TSC1 or TSC2 gene, leading to the hyperactivation of the mechanistic target
Dr. Lyndsay Hoy Appointed Chief Mission Officer of The LAM Foundation
The Board of Directors is pleased and excited to announce the appointment of Dr. Lyndsay Hoy as the inaugural Chief Mission Officer (CMO) of The
LAM Patient Research Priorities Survey Now Open
Dear LAM Community Members, The LAM Foundation prioritizes supporting LAM scientific research, funding a wide range of projects and initiatives. To maximize impact for LAM
Study suggests LAM is more prevalent than previously thought
“Rare diseases are often disregarded given their rarity. Most are underdiagnosed. The minute you tell clinicians that this is actually four to five times more
A Conversation with Vera Krymskaya, PhD, MBA, Scientific Director
Dr. Vera Krymskaya has been appointed Scientific Director at The LAM Foundation after serving as interim since July 2023. She is the first female PhD
LAM Patient Research Priorities Survey Opens in March 2024
Dear LAM Community Members, The LAM Foundation prioritizes supporting LAM scientific research, funding a wide range of projects and initiatives. To maximize impact for LAM
The Latest in LAM Science: Bi-steric mTORC1 inhibitors induce apoptotic cell death in tumor models with hyperactivated mTORC1
The mTORC1 pathway is a signaling pathway in cells in the body that controls cell growth and survival. In many cancers and in LAM, this
The Latest in LAM Science: Lost in translation: a neglected mTOR target for lymphangioleiomyomatosis
LAM is caused by changes in some genes that control cell growth called the mTORC1 pathway. Cells use this pathway to make many copies of
This is Where Hope Lives
Google told me I had ten years to live. Ten years. Isaiah turned 10 this year, and he’s only just begun to live a life.
The LAM Foundation Announces Interim Executive Director
On behalf of the Board of Directors of The LAM Foundation, I am thrilled to announce the arrival of Dr. Patricia A. Gentile, Ed.D, as
Statement on Pfizer’s decision on the brand drug, Rapamune, in the U.S.
The LAM Foundation was made aware just yesterday by Pfizer that they will no longer sell or have availability of their brand drug, RAPAMUNE® in
Leadership Change at The LAM Foundation
After a decade of remarkable leadership of the LAM Foundation, Sue Sherman has informed the Board of Directors of her decision to step down from
Report: Exercise with LAM is Safe and Effective
A question that comes up frequently within the LAM community is whether exercise can improve life for individuals with LAM – and if so, how
COVID-19 UPDATES
COVID-19 continues to persist in the community at a relatively low level, mainly in the form of Omicron subvariants. Omicron subvariants are highly transmissible but
The latest in LAM research
Although the FDA’s approval of sirolimus for lymphangioleiomyomatosis was a major breakthrough in treating the disease, the drug does not work for all LAM patients.
2023 Regional TSC & LAM Conference Series
The TSC Alliance® and The LAM Foundation will join together once again to co-host four Regional TSC & LAM Conferences in 2023 aimed at individuals
World Pneumothorax Day
June 30 is World Pneumothorax Day and a great opportunity to educate yourself and your loved ones about what is often a painful and debilitating
A Conversation with Bonnie Wang, MD
Dr. Bonnie Wang is a clinical assistant professor in internal medicine and pulmonary and critical care at the University of Michigan. Her clinical and research areas of
A Rare Public Health Challenge
Most public health challenges may seem obvious. The COVID-19 pandemic, for example, swept the globe and in some way touched the lives of everyone. But
Complementary Medicine for LAM and Beyond
Our long-awaited attendance at our first LAMposium was truly an experience to remember. Being a loved one of a woman with LAM and a physical
LAMposium in your Living Room recording is now available
Thank you for your interest in our recent LAMposium in Your Living Room (LYLR) educational webinar, “Henske & Hammes Research Report: Highlights from the 2022
I couldn’t “fix” LAM, so I’m raising money for those who can
In November 2020, my 24-year-old daughter Kristin was diagnosed with LAM. As a mother, I’m used to fixing problems for my children. But this was
Where there once was fear, there is now hope
In 2020, Meagan Knight was a young newlywed, working as a nurse in a hospital COVID-19 unit when her lungs collapsed. No, it wasn’t COVID-19.
A Gift More Than 40 Years in the Making
Wendy Sellers, a 30-year-old wife and mother, had been struggling for months with unexplained lung issues before she finally received a LAM diagnosis. It was the early 1980s, when doctors knew little
Legacy for a Sisterhood
Shellie Owens, a longstanding supporter and volunteer for The LAM Foundation, never let her LAM diagnosis stop her from doing everything she could to support her fellow LAM
Fighting for a LAM Diagnosis and Now a Cure
For seven years, I continually searched for answers because I knew something was wrong with my health. I had a hard time breathing and started
Life with LAM
Trust & Estate Administrator | Retired, Falls Church, VA Age: 64 | Diagnosed at age: 45 “Living with LAM has been an interesting journey! Although not
Life with LAM
Marketing Professional | Founder, Accessible Itineraries | Certified Professional Coach, Brooklyn, New York Age: 42 | Diagnosed at age: 30 “I was diagnosed with LAM six
Life with LAM
Stay at Home Mom, Newcastle, NSW Australia Age: 39 | Diagnosed at age: 26 “Being diagnosed at the age of 26 was very mentally challenging for
How a LAM diagnosis changed a 17-year-old’s life
When spring arrives, most high school seniors are gearing up for graduation, prom, and going away to college. Not so for 17-year-old Adrianaliz, who was
How a LAM Patient Became a Scientist to Help Find a Cure
Beth Daugherity had been suffering lung and breathing issues for years. After a lung collapse and months of pain, she consulted several doctors to figure
Sirolimus Gave Stephanie a Second Chance
Two years ago, Stephanie Weber’s life was turned upside down. This active mom of three was struggling to breathe. She could barely even care for her Golden Retrievers. Stephanie ended up in the ER with a
Active Mother of Three Advances LAM Research
Meet Carol Webber. Carol is always on the move as a mom of three. She was diagnosed with LAM in 2018 and was concerned she
Drawing a Circle of Hope
A resource offered by The LAM Foundation, the Circle of Hope Transplant Support Program was established in 2018. The program connects LAM patients who are considering lung
Life with LAM
Cosmetologist | Mexico “Since my LAM diagnosis, my life has changed completely. From leading to my divorce – because I was misunderstood by my partner
Life with LAM
Lung Transplant Recipient | Canada “Living with LAM has been eye-opening. One day you think you’re fine, and the next day you have a rare
Life with LAM
Sworn Translator and Interpreter | Guatemala City, Guatemala “I was diagnosed with LAM when I started to feel short of breath. Nothing else had happened
Life with LAM
Talent Acquisition & Workforce Generalist | Seaside, California “I remember having chest pains about a year before my actual diagnosis and experienced shortness of breath
Single cell RNA sequencing provides insights into LAM and a potential link to COVID-19
Single cell RNA sequencing (scRNA-seq) is a technology that allows the analysis of transcriptome of individual cells; that is, to measure and analyze the messenger
Finding Hope Through LAM Community Engagement
I was diagnosed with LAM and probable Tuberous Sclerosis Complex (TSC) in 2019 at 26 years old, when I was working three jobs and attending
The Future of Monitoring Lung Function in LAM
As all LAM patients are well aware of, serial lung function testing performed in a physician’s office is the current standard of care to assess
More Ways to Give: Qualified Charitable Distributions from IRAs
Are you or someone you know over the age of 70 ½ and looking for more ways to give to The LAM Foundation? You may
Pulmonary Lymphangioleiomyomatosis (LAM): A Monogenic Neoplasm That Provides a Window into Cancer
by Vera Krymskaya, PhD, MBA, Professor of Medicine, Perelman School of Medicine, University of Pennsylvania The LAM community including LAM researchers, clinicians and patients has
Management of Pneumothorax – What is the Best Strategy?
By Sandra Starnes, MD, Associate Professor of Surgery, John B. Flege Chair in Cardiothoracic Surgery, University Of Cincinnati College Of Medicine Pneumothorax (collapsed lung from